CT Abdomen & Chest

CT Abdomen & Chest

Comprehensive Imaging for Internal Health

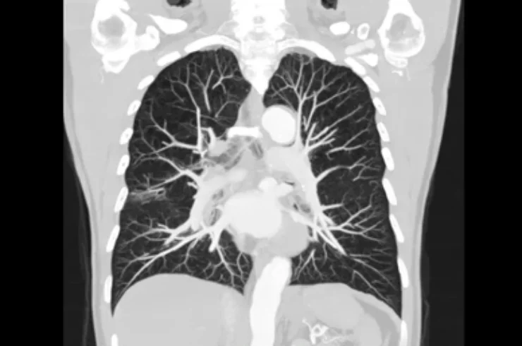
A CT Abdomen and Chest Scan is an advanced diagnostic tool that helps doctors identify a wide range of conditions affecting your internal organs. At Atharv Diagnostic Center, we use the latest CT scanning technology to obtain detailed images of your abdomen and chest, helping diagnose a variety of medical issues with precision.

What is a CT Abdomen & Chest Scan?

A CT Abdomen and Chest Scan uses X-rays to produce cross-sectional images of your abdominal and chest regions. This scan allows your doctor to examine organs like the liver, lungs, heart, kidneys, spleen, pancreas, intestines, and more. It is particularly useful for detecting:

  • Lung conditions (like tumors, infections, and inflammation)

  • Heart problems (such as blockages or structural issues)

  • Abdominal pain or discomfort (to identify causes like appendicitis, kidney stones, or hernias)

  • Cancer detection (identifying tumors or abnormal growths)

  • Infections or fluid buildup in the chest or abdomen

  • Trauma or injury to internal organs

Why is a CT Abdomen & Chest Scan Important?

  • Accurate Diagnosis: It provides detailed, high-resolution images, enabling early detection of conditions and guiding treatment decisions.

  • Quick and Non-invasive: The procedure is painless, quick (usually takes 10-15 minutes), and requires no incisions.

  • Comprehensive View: Unlike regular X-rays, a CT scan gives doctors a 3D view of your body, allowing them to assess complex internal structures and conditions with precision.

  • Early Detection: Early detection of diseases, especially cancers or cardiovascular issues, can improve treatment outcomes and save lives.

What to Expect During the Scan

  • You will be asked to lie still on the scan table while the machine takes images.

  • No special preparation is typically needed, but you may be asked to refrain from eating or drinking for a few hours before the scan if contrast dye is used.

  • If contrast dye is needed, it will be injected into a vein to help highlight the organs and blood vessels for clearer images.

  • The scan is quick and usually lasts 10-15 minutes.

  • You may be asked to hold your breath for a few seconds to ensure the images are clear.

Why Choose Atharv Diagnostic Center for Your CT Abdomen & Chest Scan?

  • Advanced CT technology that provides clear, accurate images

  • Experienced radiologists for precise analysis and diagnosis

  • Comfortable and patient-friendly environment

  • Fast and reliable results to assist in timely treatment